Hallux Valgus
Die Deformation
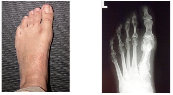
Der Hallux Valgus ist bei weitem die häufigste Deformation des Vorfusses: Der erste Mittelfussknochen weicht gegen die Mitte hin ab (varus), währenddem sich die Grosszehe nach aussen hin bewegt (valgus). Daraus entsteht im Schuh auf der Innenseite der schmerzhafte "Ballen", der mit der Zeit meist immer grösser und lästiger wird und zudem entzündet werden kann (Bursitis).
Auf dem Röntgenbild wird ersichtlich, dass sich dieser "Ballen" unmittelbar hinter dem Grosszehen-Grundgelenk befindet, welches ebenfalls zur Mitte hin verschoben ist; dadurch werden zwischen dem ersten und dem zweiten Zehengrundgelenk die Sesambeinchen sichtbar, welche als eine Art Umlenkhebel für die Beugersehnen der Grosszehe eigentlich genau unter dem Gelenk liegen sollten. So entsteht eine Art "Pfeilbogen-Effekt", der dazu führt, dass die Grosszehe bei jedem Schritt nach aussen gezogen wird und man sie schlussendlich gar nicht mehr beugen kann, da die Sehnen völlig neben dem Knochen liegen. Die Kraft, mit der Grosszehe nach unten zu drücken und damit den Fuss zu stabilisieren geht verloren. Zudem verkürzen sich dadurch die aussenliegenden Kapsel- und Bandstrukturen und werden völlig starr. So entsteht eine Deformation, die sich mit konservativen Methoden (Einlagen, Schienen, Therapien) nicht mehr korrigieren lassen. Die Chirurgie, die die normalen Verhältnisse wiederherstellt, ist hier die einzige Lösung.

Stadien der Deformation
1. Stadium
Alter des Auftretens: Beim vererbten Hallux Valgus: 18.-20. Lebensjahr, Alle übrigen Fälle: 40.–50. Lebensjahr
Symptome: Am Anfang bestehen Schmerzen lediglich in engen Schuhen oder nach langem Gehen/Stehen über der Exostose ("Ballen"). Die Deformation ist meist minimal, kann aber ausserordentlich weh tun.
2. Stadium
Zwei Entwicklungen sind möglich:
1. Vor allem die Schmerzattacken nehmen an Anzahl und Intensität zu, die Verformung ist mässig.
2. Die Schmerzen sind gering, die Deformation nimmt stark zu (sogar innerhalb von Wochen!).
In beiden Fällen ist ein Eingreifen angezeigt: Im ersten Fall wegen der Schmerzen, die anders nicht zu kurieren sind. Im zweiten Fall wegen der Deformation, die beinahe immer zu Problemen bei den benachbarten Zehen führt (zB Hammerzehen).
Die Ursachen
Es sind hauptsächlich 4 Ursachen, die zu einem Hallux Valgus führen:
1. Geschlecht: Auf 100 Hallux Valgus entfallen 95 auf Frauen und nur 5 auf Männer
2. Vererbung: Zwar ist der Hallux Valgus keine Erbkrankheit, jedoch besteht klar eine familiäre Häufung (Vererbung von der Mutter auf die Tochter als häufigster Fall).
3. Länge der ersten Zehe: Ist die erste Zehe deutlich länger als die zweite (ägyptische Fussform, 62%), wird sie in einem Schuh als Folge der Hebelwirkung und ohne Widerstand nach aussen gedrängt. Anders verhält es sich bei einer Grosszehe, die kürzer ist als die zweite (griechische Fussform, 11%), bei der der Fuss in etwa die Form eines normalen Schuhs aufweist und demzufolge nicht unter Spannung steht.

4. Form des Schuhs: Vor allem spitze, enge Damenschuhe mit hohen Absätzen begünstigen die Ausbildung eines Hallux Valgus.

Klar ersichtlich der Druck des Schuhs auf die Grosszeh

Durch die Verschiebung des Knochens ziehen die Sehnen in eine falsche Richtung
Chirurgische Therapie
Prinzip
NICHT die "KOSMETISCHE" KORREKTUR ist das Ziel der Behandlung, sondern das BEHEBEN DER URSACHE.
Dafür stehen mehr als eine einzige Methode zur Verfügung. Grundsätzlich haben aber alle dasselbe Ziel: Rückverschieben des Grosszehen-Grundgelenkes an seine angestammte Position. Die von uns in den weitaus meisten Fällen angewandte Methode der Scarf-Osteotomie in den Modifikationen von Barouk und Maestro hat sich dabei hervorragend bewährt und kann in den allermeisten Fällen mit dauerhaftem Erfolg die Korrektur bewirken. Im Prinzip wird dabei der erste Mittelfussknochen (von der Seite gesehen) Z-förmig durchtrennt. Die dabei entstehenden Fragmente werden so gegeneinander verschoben, dass die Achse des ersten Strahls korrigiert werden und dadurch die Sehnen an ihren angestammten Platz zu liegen kommen (oder anders ausgedrückt: das Grundgelenk der ersten Zehe wird zu demjenigen der zweiten Zehe hinbewegt). In dieser Position werden die Knochenteile dann wieder mittels zwei Spezialschrauben fixiert und die überstehenden Knochenteile abgetragen.
Häufig ist es auch zusätzlich notwendig, das ebenfalls verkrümmte Grundglied der Grosszehe zu korrigieren. Dies kann durch Entnahme eines entsprechenden Knochenkeils bewirkt werden. Die Fixation erfolgt hier mit einer Spezialklammer, die eine sofortige Stabilität garantiert.

Schematische Darstellung der Operation
Fuss praeoperativ

Der gleiche Fuss nach 1 Jahr





