Bandscheibenvorfall an der Halswirbelsäule (Diskushernie, Diskusprolaps)
Alles um und über den zervikalen Bandscheibenvorfall
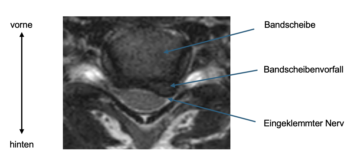
Die Bandscheiben (Diskus) sind ovale "Polster" welche zwischen den Wirbelkörpern liegen. Sie bestehen aus einem äusseren derben Ring aus Faserknorpel (Anulus fibrosus) und einem relativ weichen Kern (Nukleus). Prinzipiell erfüllen sie 3 wichtige Funktionen: Sie federn die Last des Körpergewichts ab, sie ermöglichen eine Beweglichkeit zwischen den Wirbeln als eine Art Kugellager und sie verbinden gleichzeitig die Wirbelkörper miteinander und sorgen so für die Stabilität des Segments (2 angrenzende Wirbel).
Im Falle eines Risses des äusseren Rings (Anulus) kann der Kern oder Teile von ihm austreten und auf einen oder mehrere Nerven drücken.

Wie erkennt man die typischen Zeichen eines Bandscheibenvorfalls der Halswirbelsäule?
Bandscheibenvorfälle können auch unbemerkt bleiben und sind dann auch nicht behandlungspflichtig. Sollten sie doch symptomatisch werden, macht sich dies meistens durch einen starken Schmerz im Arm bemerkbar, der typischerweise eine klar definierte "Bahn" aufweist. Dies ist dadurch bedingt, dass ein Nerv ein ganz bestimmtes Gebiet der Haut im Arm und einen ganz bestimmten Muskel versorgt. Ist zum Beispiel der 6. Halsnerv (C6) betroffen machen sich die Schmerzen vor allem im Daumen bemerkbar, (die C7 Nervenwurzel wiederum betrifft eher Zeige- und Mittelfinger). Mehrheitlich werden die Schmerzen von Gefühlsstörungen wie Taubheit der Haut und Kribbeln begleitet. Nicht selten machen sich auch heftige Nackenschmerzen bemerkbar. Oft lassen sich die Schmerzen durch Husten oder Niessen verstärken und durch Heben des Armes (zum Beispiel beim Haarewaschen) lindern. In einigen Fällen ist der Effekt auf den Nerven so stark, dass bereits die Muskelkraft im Arm (zum Beispiel Beugung des Armes) betroffen sein. Drückt der Vorfall auf das Rückenmark können sogar schwerwiegende Funktionsstörungen des Gangs, der Blasenentleerung und der Feinmotorik auftreten.

Ist immer ein Bandscheibenvorfall die Ursache für eine Einklemmung eines Nervens?
Die Antwort ist natürlich: Nein. Je älter der Patient wird treten neben Bandscheibenvorfälle auch allerlei andere Verschleisserscheinungen auf, die dazu führen können, dass Nerven einklemmen. So kann zum Beispiel auch ein Knochenvorsprung (Osteophyt), der aufgrund der Arthrose im Bandscheibenfach entsteht auf das Rückenmark oder einen abgehenden Nerven drücken. Auch hier lässt sich meistens eine recht eindeutige Schmerzbahn feststellen, aber die Beschwerden sind meistens schleichender im Vergleich zu den oft plötzlichen Bandscheibenvorfällen. Allerdings sind sie auch in der Regel von bleibender Natur, sodass hier bei anhaltenden Schmerzen oft nur die Operation hilft. Weitere Ursachen können auch degenerative Segmentinstabilitäten sein, welche Schmerzen verursachen. Deshalb sind oft sogenannte Funktionsaufnahmen mit dem Röntgengerät notwendig, die die HWS in Kopfbeugung und Kopfstreckung darstellen und so eine unharmonische Beweglichkeit eines Segments zeigen können.
Es wurde bei Ihnen ein Bandscheibenvorfall festgestellt. Wie geht es weiter?
Sollte die MRI Untersuchung einen Bandscheibenvorfall nachweisen, welche Ihre Beschwerden erklären könnte, richten sich die weiteren Massnahmen an Ihren Leidensdruck und Ihrer Lebensqualität. Solange keine Ausfälle vorhanden sind, kann grundsätzlich konservativ, also ohne Operation, behandelt werden. Unterstützend werden in der Regel Schmermittel rezeptiert und eine Serie Physiotherapie zur Kräftigung der Halsmuskulatur verschrieben. Wenn notwendig wird eine sogenannte Infiltration angeboten. Hier handelt es sich um eine Spritze, welche, mithilfe von Röntgen- oder CT, genau am Nerven ein Medikamentengemisch (Lokalanästhetikum und Cortison) verabreicht. Durch diese Massnahmen kann gelegentlich auch eine Operation umgangen werden. Treten allerdings motorische Ausfälle (Kraftverlust) auf, oder werden die Beschwerden trotz Behandlung nach 6-8 Wochen nicht beherrschbar, sollte eine Operation in Betracht gezogen werden. Ist das Rückenmark selbst betroffen drängt sich die operative Behandlung meist auf.
Wie wird bei einem Bandscheibenvorfall der Halswirbelsäule operiert?
Grundsätzlich zielt die Operation auf eine Entlastung des eingeklemmten Nervens oder des Rückenmarks ab. Dafür stehen verschiedene operative Verfahren zur Auswahl. In den meisten Fällen wird eine Operation von vorne durchgeführt. Dabei wird durch einen kleinen Hautschnitt meist auf der rechten Seite des Halses der betroffene Wirbelsäulenabschnitt schonend freigelegt. Mithilfe des Mikroskops wird die gesamte Bandscheibe samt Vorfall entfernt und der eingeklemmte Nerv und das Rückenmark entlastet. Der nun entstandene Hohlraum wird durch einen abstützenden Platzhalter (Cage) gefüllt. Dieser wird in den meisten Fällen entweder direkt verschraubt oder mit einer drauf liegenden kleinen Platte fixiert. Dies ermöglicht dann eine knöcherne Versteifung des betroffenen Segments. Dennoch wirkt sich diese kaum auf die Gesamtbeweglichkeit der Halswirbelsäule aus. In streng ausgewählten Fällen kann auch eine bewegungs-erhaltende Prothese implantiert werden.
Alternativ können in manchen Fällen die Vorfälle durch eine Operation von hinten entfernt werden, dabei kann auch meist auf eine Versteifung verzichtet werden.
Grundsätzlich zeigen Studien für alle dieser Verfahren ähnlich gute Ergebnisse, die Methode der Wahl richtet sich schliesslich nach den anatomischen Begebenheiten und dem exakten Krankheitsbild.

Wie sind die Erfolgsaussichten nach einer Operation?
In aller Regel sind die Erfolgschancen der Operation sehr gut ( >90%). Dies kann durch viele Studien zu diesem Thema belegt werden und spiegelt sich auch in unserer Erfahrung wider.
Was sind die Risiken einer Operation?
Es gelten bei dieser Operation die allgemeinen Risiken einer Wirbelsäulenoperation. Insgesamt treten Komplikationen selten auf und können in den meisten Fällen durch die Operateure behandelt werden. Gelegentlich kommt es zu einer vorübergehenden Heiserkeit oder Schluckschmerzen nach einer Operation der Halswirbelsäule von vorne. Sehr selten können Schluckbeschwerden oder Heiserkeit verbleiben. Verletzungen der Hirnhaut (Dura) oder gar des Rückenmarks (Myelon) oder eines hirnversorgenden Blutgefässes gehören zu den äusserst seltenen Komplikationen.
Wie geht es nach der Operation weiter?
Nach der Operation sind die Patienten im Allgemeinen mobil, es ist von einer Spitalaufenthaltsdauer von ca 3-4 Tagen postoperativ zu rechnen. Meistens ist eine Halskrause nach der Operation nicht notwendig. Während des Aufenthalts im Spital werden Sie über spezielle Verhaltensmassnahmen nach einer Operation an der Halswirbelsäule sowie Übungsprogrammen durch einen Physiotherapeuten instruiert. Die Schonungszeit beträgt in der Regel 6 Wochen. Eine stationäre Rehabilitation ist nur selten indiziert (wenn beispielsweise bereits schwere neurologische Funktionsstörungen vorgelegen haben).
Falls Sie beruflich tätig sein sollten, ist von einer 4 bis 6-wöchigen Arbeitsunfähigkeit je nach körperlicher Belastung am Arbeitsplatz auszugehen.

Literatur: Buttermann GR. Anterior Cervical Discectomy and Fusion Outcomes over 10 Years: A Prospective Study. Spine (Phila Pa 1976). 2018 Feb 1;43(3):207-214.




