Arthroskopische Hüftoperationen (Femoro-Acetabuläres Impingement, Labrumeinriss etc.)
Beim femoro-acetabulären Impingement (englisch für 'Einklemmung') handelt es sich um ein «Einklemmen» zwischen Hüftkopf und Hüftpfanne während einer Bewegung. Ursache hierfür ist ein ausladendes Pfannendach oder eine ungenügende Taillierung des Überganges zwischen Hüftkopf und Schenkelhals. Folge davon ist ein schmerzhafter Verschleiss des Hüftgelenkes. Solche Veränderungen sind auf standardisierten Röntgenbildern erkennbar. Zur genauen Beurteilung des Ausmasses eines Schadens am Gelenk ist häufig eine Magnetresonanztomographie (MRI / MRT) erforderlich. Durch eine Spiegelung des Hüftgelenkes (Arthroskopie) lassen sich zerrissene Gewebeanteile am Pfannenrand und knöcherne Anbauten entfernen und so die Ursachen des Impingements beheben. Der Erfolg der Operation ist vom Ausmass des bereits vorhandenen Gelenkschadens abhängig.
Unter dem femororacetabulären Impingement versteht man eine bewegungsinduzierte Einengung (engl. to impinge-einengen) zwischen dem Kopf des Oberschenkelknochens (Femur) und der Pfanne bzw. dem Pfannenrand (Acetabulum). An dem Pfannerand verläuft eine sog. Lippe, das Labrum. Hierbei handelt es sich um eine knorpelige Lippe, es bildet einen Teil des Hüftgelenkdaches. Man kann sich die Funktion ähnlich einem Meniskus vorstellen. Es ermöglicht eine gleichmässige Gewichtsverteilung und führt zur mehr Stabilität. Im Rahmen von mechanischen Studien wird zudem eine Abdichtungsfunktion diskutiert.


Anatomie der rechten Hüfte (Fa. Smith& Nephew). Bild links: Vergrösserte Darstellung des Hüftgelenkes. Die dicke weisse Linie am oberen Anteil der Hüftpfanne markiert das Labrum (Fa. Smith& Nephew)

In dieser Darstellung ist das Labrum rot gefärbt (Fa. Arthrex). Schematische Darstellung einer Hüftarthroskopie rechts. Der blaue Zylinder entspricht einem Zugangsportal für die Arthroskopie. Unmittelbar darunter befindet sich eine knöcherne Auftreibung am Schenkelhals-Kopf-Übergang, ein sog. Bump (Fa. Arthrex)
In der Orthopädie werden grundsätzlich zwei Formen des femoroacetabulären Impingements (FAI) beschrieben:
Cam-Impingement / Nockenwellentyp (ca. 20%)
Picer Impingement / Beisszangentyp (ca. 10%)
Kombiniert Cam- Pincer Typ (ca. 70%)
Cam-Typ / Nockenwellentyp
Hier liegt eine verminderte Taillierung des Oberschenkelkopf-Schenkelhals-Überganges vor. Je nach Ausprägung dieser Veränderung kommt es beim Eindrehen des Oberschenkelknochens in die Hüftpfanne zu einer Einengung des Labrum acetabulare, der Druck wird an den umliegenden Knorpel der Pfanne weitergeleitet. In einigen Fällen ist es sogar möglich, dass sich der Knorpel vom darunterliegenden Knochen löst, dies ist im MRI (Magnetresonanztomographie) sichtbar und wird als Teppichphänomen beschrieben. Ebenso können als knöcherne Zeichen im Laufe der Zeit Zysten entstehen (herniation pits). Sie sind im Röntgen am Kop-Hals-Übergang zu sehen. Diese Knochenregion „schlägt" gegen den Pfannenrand.
Pincer-Typ / Beisszangentyp
Hierbei handelt es sich um eine „nicht anatomische" Form des Acetabulums, der Pfanne. Eine sog. Über-Überdachung des Hüftkopfes resultiert hieraus und mündet auch hier in einer Einengung. Zunächst verändert sich hauptsächlich die knorpelige Gelenklippe, das Labrum. Bei diesem Impingementtyp sind eher Frauen betroffen. Im klinischen Alltag liegen jedoch selten die isolierten Formen des FAI vor, vielmehr handelt es sich um kombinierte Veränderungen die den Patienten Beschwerden bereiten. Abschliessend ist Festzuhalten, dass ein FAI bei gewissen sportlichen Betätigungen temporär auftreten kann ohne dass o.g. Veränderungen vorliegen müssen wie beispielsweise beim Spagat.
Klinik
Die für den Patient typischen Beschwerden kommen zunächst nur bei längeren Belastungen vor, es handelt sich hierbei um Leistenschmerzen, Muskelschmerzen etc. eine Schmerzprovokation ist oftmals bei Beugung und gleichzeitiger Innenrotation im Hüftgelenk möglich. Auch längeres Sitzen im Auto, bei Flugreisen können diese Schmerzen auslösen. Im Rahmen der klinischen Untersuchung kann ein vermindertes Ausmass der Beugung und der Abduktion festgestellt werden. Zudem gibt es Provokationstests.
Für die Diagnosesicherung kommt neben der konventionellen Röntgenbildgebung auch die Magnetresonanztomographie in Betracht. Das MRI ermöglicht neben Schäden des Labrums auch eine Beurteilung der knorpeligen Strukturen des Hüftkopfes und der Hüftpfanne.

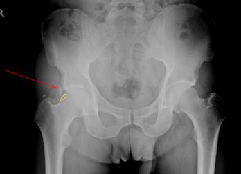
Beispiel eines FAI bei einem 42 jährigen Patienten der rechten Hüfte (links im Bild). Beckenübersichtsaufnahme.

Gleiches Beispiel eines FAI bei einem 42 jährigen Patienten der rechten Hüfte (links im Bild). Der rote Pfeil markiert eine Verknöcherung des Labrums, der gelbe Kreis den „Bump"
Therapie
Grundsätzlich ist hier zwischen offenen und geschlossenen Op Verfahren zu unterscheiden. Zu den geschlossenen Verfahren zählt die Hüftarthroskopie (Gelenkspiegelung). Hier hat in den letzten Jahren eine deutlich technische Weiterentwicklung stattgefunden, so dass neben dem „Entfernen" von störenden Anteilen auch rekonstruierende Verfahren möglich sind, bspl. die Wiederherstellung eines anatomischen Kopf-Hals-Überganges.
Je nach intraoperativen Befund und Vorgehen (zusätzliches Knorpelchirurgisches Verfahren, etc.) kann für eine längere Zeit der Entlastung verschrieben werden (6-8 Wochen). Ein speziell auf den Patienten zurechtgeschnittenes Nachbehandlungsschema wird im Rahmen der ambulanten Rehabilitation durchgeführt.

Darstellung einer Hüftarthroskopie (Fa. Arthrex)

Vergrösserte Dartsellung einer Hüftarthroskopie. Der Hüftkopf wird etwas aus der Pfanne gezogen um mehr Übersicht zu erhalten. Mittig im Bild ist das Arthroskop mit der Kamera und Lichtquelle zu sehen, rechts beispielhaft ein Instrument zur Refixierung von anatomischen Strukturen (Fa. Arthrex).




