Teilprothese / einseitige Schlittenprothese, Femoropatellararthrose
Die Arthrose kann einzelne Abschnitte des Kniegelenkes isoliert befallen oder aber auch das gesamte Knie. Meistens ist bei der Diagnosestellung das innere und äußere Kompartiment des Knies betroffen, oftmals auch das Gelenk, welches von der Kniescheibe und dem Oberschenkelknochen gebildet wird. Prinzipiell lassen sich unabhängig voneinander diese ersetzen, obgleich die Ergebnisse in der Literatur sehr unterschiedlich ausfallen.
Mit der sogenannten Schlittenprothese, oder auch Uni-Knie, wird entweder der innere oder der äussere Kniegelenkanteil ersetzt, also derjenige, welcher durch die Arthrose zerstört wurde. Es betrifft also "nur" die Hälfte der Gelenkfläche. Ob eine solche Operation möglich ist, hängt von mehreren Faktoren ab, zum Beispiel dem Ausmass einer möglichen Beinachsenabweichung (O-Bein, X-Bein), Ausmass des Knorpelschadens in den anderen Kompartimenten, Alter des Patienten, Aktivitätsgrad etc.

Unikondyläre Knieprothese / Oberflächenersatz Firma Mathys (BalanSys) und Beispiel einer entsprechenden prä- und postoperativen Bildgebung
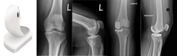
Der patellofemorale Gelenkersatz / PFJ Wave Fa. Arthrosurface , Fa. Curmed
Knorpelverletzungen im patellofemoralen Gelenk, dem Gelenk zwischen Oberschenkel und Kniescheibe, sind relativ häufig und können bereits bei jungen Patienten zu erheblichen Problemen führen. Dies liegt hauptsächlich daran, dass die konservativen aber auch operativen Therapiemöglichkeiten eingeschränkt sind. Relativ kleine, fokale Knorpeldefekte können mit knorpelchirurgischen Massnahmen (Mikrofrakturierung, AMIC oder auch der Knorpelzelltransplantation) angegangen werden, s. Knorpelchirurgie. Eine totalendoprothetische Versorgung stellt insbesondere bei jungen, aktiven Patienten, vor allem bedingt des Belastungsanspruches, den Anforderungen an das Kniegelenk (Beruf, Sport, Freizeit), keine sinnvolle Therapiealternative dar.
In den letzten Jahren sind für die Problematik der isolierten, patellofemoralen Arthrose neue Prothesenmodelle auf den Markt kommen, die gemäss Studienergebnissen eine vielversprechende Behandlungsoption darstellen (Imhof et al. LSSTA, 2013). In diesem Zusammenhang ist der lokale Oberflächenersatz, die HemiCap Wave Prothese der Fa. Arthosurface zu nennen.
Neben dem reinen Oberflächenersatz besteht hier auch die Möglichkeit eine ungünstige Gelenksanatomie, die Trochleadysplasie, zeitgleich zu korrigieren.
Die HemiCap Wave Prothese ersetzt somit den trochleären Knorpeldefekt. Liegt begleitend ein retropatellärer Defekt vor, kann dieser in gleicher Sitzung, der gleichen Operation, durch einen Polyäthylen Oberflächenersatz angegangen werden.
Indikation
Das HemiCAP Wave Implantat ist indiziert bei Patienten
- mit auf das distal patello-femorale Gelenk beschränkter Osteoarthrose
- mit vorangegangenar patellarer Dislokation oder patellarer Fraktur
- bei denen chirurgische Verfahren bislang versagt haben (Arthroskopie, Anhebung der Tuberositas tibiae, laterale Ablösung etc.)
- bei denen Schmerzen bzw. eine Deformität oder Dysfunktion fortbestehen
Kontraindikationen
- Rheumatoide Arthritis
- Stoffwechselstörungen, die die Knochenbildung oder –heilung beeinträchtigen könnten.
- Bestehende Infektionen, die auf den Implantationsbereich übergreifen könnten
- Chronische Instabilität oder unzulängliche Weichteile/Stützstrukturen
- Gefäß- oder Muskelinsuffizienz
- Patienten, die nicht bereit sind, prä- und postoperative Instruktionen zu befolgen.
Vorteile für den Patienten
- Minimal-invasives Verfahren durch kleine Gelenkeröffnung
- Relativ kurze OP-Zeit
- Gelenkrekonstruierende und knochenerhaltende Therapie
- Inlay-Verfahren ermöglicht sehr gute Anpassung an die Anatomie
- Gefühl des körpereigenen Gelenks
- Ein für den Patienten schonendes Verfahren, da nach der OP geringere Schmerzen und Schwellungen auftreten
- kürzere Rehabilitationsphase
- Das versorgte Gelenk kann schon nach kurzer Zeit wieder belastet werden und ist im vollen Umfang beweglich
- Schnellere Rückkehr zu gewohnten Aktivitäten in Beruf und Freizeit
- prinzipiell keine sportlichen Einschränkungen
- Option für intensivere Versorgungen bleiben erhalten
- Sämtliche Optionen für weiterführende Lösungsmöglichkeiten (Totalendoprothetik Knie) bleiben bestehen




