Rotatorenmanschettenruptur
Das Schultergelenk besteht aus einer kleinen Pfanne und einer grossen Kugel (Oberarmkopf). Dieses Missverhältnis wirkt sich positiv auf die Bewegungsfreiheit aus, nachteilig jedoch auf die Stabilität. Das Gelenk wird durch die knöcherne Form, die Muskeln und Bänder geführt. Der sogenannten Rotatorenmanschette kommt hierbei eine ganz besondere Bedeutung zu. Sie besteht aus vier Muskeln, dessen Sehnen das Schultergelenk umhüllen.

Anatomie der Schulter
Jeder der einzelnen Muskeln erlaubt eine entsprechende Bewegung, zusammen stabilisieren sie vor allem das Gelenk und halten den Oberarmkopf zentriert in der Pfanne. Eine sich wiederholende Überlastung oder ein Unfallereignis kann zu der Verletzung / Riss einer oder mehrer Sehnen führen, einhergehend mit Schmerzen, Kraftverlust, Instabilität und einer Bewegungseinschränkung.

Vereinfachte Darstellung einer Ruptur der Rotatorenmanschette.

Blick auf die Gelenkfläche des Schulterplattes von der Seite
Nicht jede Ruptur der Rotatorenmanschette muss operativ behandelt werden. Je nach Schmerzen und Funktionsausfall des Schultergelenkes können im Rahmen der konservativen Therapie Medikamente, Infiltrationen und physiotherapeutische Übungen die Beschwerden lindern.
Operativ stehen arthroskopische (Gelenkspiegelung) und offene chirurgische Verfahren (mini-open Technik) zur Verfügung. Operationen werden überwiegend im Rahmen von Gelenkspiegelungen durchgeführt. Zur Gewährleistung einer erfolgreichen Behandlung trägt nicht zuletzt eine spezielle Nachbehandlung und Physiotherapie bei.

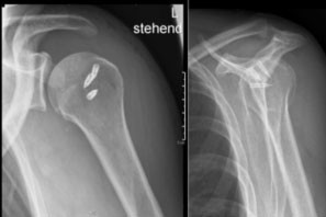
Postoperatives Röntgenbild der Schulter nach Refixation der Rotatorenmanschette mit Nahtankern
Die Schulterarthroskopie mit Entfernen von entzündetem Gewebe in Kombination mit einer Erweiterung des Raums zwischen Schulterdach und Oberarmkopf (Acromioplastik) kommt bei kleinen Rissen oder Anrissen der Sehnen zur Anwendung, welche keine Refixierung brauchen. Auch bei sehr ausgeprägten Schädigungen der Rotatorenmanschette, welche operativ nicht mehr rekonstruierbar sind, ist von Fall zu Fall eine Operation sinnvoll. Die verletzten Sehnenanteile und entzündliches Gewebe werden entfernt. Ziel dieser Eingriffe ist vor allem die Schmerzreduktion. Sekundär kann daraus eine verbesserte Funktion resultieren.
Ist die vorliegende Verletzung der Rotatorenmanschette operabel, dies ist abhängig vom Grad der Retraktion der Sehne sowie der Muskelqualität (wenig fettig degeneriert), werden die entsprechenden Sehnen mit Hilfe von sogenannten Knochenankern am zuvor angefrischten Knochen des Oberarmkopfes fixiert. Im Anschluss ist je nach Verletzungsmuster ein spezielles Nachbehandlungsschema unter physiotherapeutischer Anleitung durchzuführen.
Begleitend kann eine Acromioplastik durchgeführt werden. Das heisst das der Raum unter dem Schulterdach befreit und somit vergrössert wird. Zusätzlich kann das Schultereckgelenk (Acromio-Clavicular-Gelenksresektion) reseziert werden, wenn das Gelenk schmerzhaft ist und nachweislich Abnutzungen (Arthrose) zeigt.
Durch vermehrte Abnutzung oder durch eine Instabilität der langen Sehne des Bizepsmuskels können Schmerzen entstehen. Die Sehne verläuft durch das Schultergelenk. Der Zustand der Sehne wird während der Operation beurteilt. Die Durchtrennung dieser Sehne (Bizepstenotomie) kann erforderlich werden. Sie führt zur Beschwerdelinderung aber auch zu einem leichten Kraftverlust von 10% bis 15%. Aus kosmetischer Sicht, kommt es zu einem Absinken des Muskelbauchs am Oberarm (Popeye-Muskel). Um dies zu vermeiden, kann die Bizepssehne ausserhalb des Schultergelenks wieder refixiert werden (Bizepstenodese).




