Teilprothese, Totalprothese der Schulter - anatomisch und invers
Altersbedingte Verschleisserscheinungen des Schultergelenkes stellen die häufigsten Ursachen für eine Erkrankung des Schultergelenks dar. Grob können zwei Erkrankungsgruppen gebildet werden, zum Einen die Erkrankungen der Rotatorenmanschette, zum Anderen die der Arthrose, den Verschleiss des Gelenkknorpels.
Im Rahmen von Rotatorenmanschettenerkrankungen ist die Supraspinatussehne mit am häufigsten betroffen. Sie verläuft an der Oberseite des Oberarmkopfes, direkt über der Gelenkkapsel unterhalb des Schulterdaches. Die Sehne gleitet hier in einem engen Kanal, im Extremfall kann sich die Sehne hier «durchscheuern» und reissen. Schmerzen werden insbesondere beim Liegen auf der Schulter und beim Abspreizen des Armes angegeben. Bei fortgeschrittener Schädigung kommt es zu einem Höhertreten des Oberarmkopfes (Cuff-Arthropathie), was mit Bewegungseinschränkung und Kraftverlust beim Abspreizen des Arms einhergeht.
Ist der Gelenkknorpel durch Verschleiß geschädigt, spricht man von einer Arthrose vor. Zu den Ursachen zählen ein früher stattgehabter Knochenbruch des Schultergelenks, wiederholte Ausrenkungen der Schulter, Rheumatismus oder eine jahrelange berufliche oder sportliche Überbelastung. Oftmals handelt es sich jedoch um einen natürlichen, altersbedingten Verschleiss. Es kommt zunächst zu unspezifischen Schmerzen bei Belastung des Armes. Im weiteren Verlauf kommen Bewegungseinschränkungen, Reibegeräusche dazu. Auch nächtliche Schmerzen sind typisch. Als bildgebende Diagnostik kommen hier insbesondere das konventionelle Röntgen die Schnittbildgebung (MRT, CT) zum Einsatz.
Welche Behandlungsmethode im individuellen Fall nötig ist, konservativ vs. operativ, Rekonstruktion vs. Endoprothetik (künstliches Gelenk), ist von bestimmten Faktoren abhängig und kann nicht pauschal beantwortet werden. Nach entsprechender Anamnese, körperlicher Untersuchung und der entsprechenden Diagnostik werden wir Ihnen bei der Entscheidungsfindung kompetent zur Seite stehen.
Die endoprothetische Versorgung am Schultergelenk
Ziel der modernen Endoprothetik allgemein ist es, die Schmerzen zu minimieren und die Funktion des jeweiligen Gelenkes zu verbessern. Eine gesteigerte Mobilität im Alltag führt letztlich zu einer Verbesserung der Lebensqualität. An der Schulter kommen je nach Indikation unterschiedliche Prothesentypen zum Einsatz: der Oberflächenersatz am Oberarmkopf, die Totalprothese, die Inverse Prothese. Je nach Diagnose reicht es zum Teil aus nur den Oberarmkopf zu ersetzen. Dies setzt voraus, dass genügend Knochensubstanz zur Verankerung vorhanden ist.

Affinis short (Mathys) links und postoperativesRöntgenbild (rechts), mit freundlicher Genehmigung der Fa. Mathys / Enovis
Falls dies nicht der Fall ist, wird eine Stielprothese gewählt, die in den Schaft des Oberarmknochens eingeschoben wird. Wenn auch der Knorpel der Gelenkpfanne abgenutzt ist, wird die Oberfläche der Pfanne ebenfalls ersetzt.
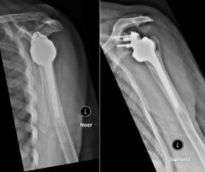
Man spricht dann von einer Schultertotalendoprothese.

Beispiel einer Schultertotalendoprothese (Affinis, Mathys,Enovis)
Etwas anders verhält sich die endoprothetische Versorgung bei Arthrose und gleichzeitig bestehendem schwerem Sehnenschaden (Cuff-Arthropathie). Je nach Ausmass der Schädigung der Rotatorenmanschette muss ein spezieller Prothesentyp zur Anwendung kommen. Es handelt sich hier um die sogenannte Inverse (umgekehrte) Endoprothese. Dabei wird, anders als bei den bereits beschriebenen Prothesentypen, der Oberarmkopf zur Pfanne und die Schulterpfanne zum Kopf.
Zum Einen gewährleistet dieser Prothesentyp bei fehlender Rotatorenmanschettenfunktion eine Primärstabilität, zum Anderen wird das Rotationszentrum verschoben, was mit günstigeren Hebelverhältnissen einhergeht. Die Beweglichkeit bei der inversen Prothese ist somit nicht mehr auf die intakte Rotatorenmanschette angewiesen, sondern wird durch den darüber liegenden Deltamuskel ausgeführt.
Die Inverse Endoprothese der Schulter kommt meist bei Patienten über 65 Jahren zum Einsatz. Voraussetzung ist ein intakter Deltamuskel und eine ausreichende Knochensubstanz, damit die stabile Verankerung der Prothesenanteile gewährleistet ist.

Beispiel einer inversen Schulterprothese (Affinis invers,Mathys, Enovis)

Postoperatives Röntgenbild einer inversen Schulterprothese
Künstliche Schultergelenke bestehen in den allermeisten Fällen aus speziellen Titan- oder Chrom-Legierungen. Je nach Prothesentyp und Qualität der Knochensubstanz kommen zementfreie oder zementierte Prothesen zum Einsatz. Je nach Literatur wird die Standzeit eines künstlichen Gelenkes hier zwischen 10 bis 15 Jahre angegeben. Berücksichtigt werden müssen hier insbesondere die Knochenqualität, Beanspruchung sowie das Material und Design der Endoprothese.




