Ruptur der Kreuzbänder / Rekonstruktionen
Kreuzband Rekonstruktionen
Gemäss einer der Schweizer Unfallstatistik (UVG) ereignen sich etwa 39’000 Knieverletzungen pro Jahr. Eine Hochrechnung ergab, dass etwa jeder 100ste Einwohner in der Schweiz eine Knieverletzung pro Jahr erleidet. In 16% der Fälle ist hier das vordere Kreuzband mitbetroffen, es handelt sich also um eine insgesamt häufige Verletzung, sie stellt die häufigste Bandverletzung des Kniegelenkes dar. Bei über 70% handelt es sich hier um Freizeit-Sportverletzungen. Zu den typischen Sportarten zählt der alpine Skisport und Fussball. Nur 10% der Fälle stellen Berufsunfälle dar.
Typischer Entstehungsmechanismus für eine Ruptur (Riss) des vorderen Kreuzbandes (VKB) ist das Verdrehen des Unterschenkels gegenüber dem Oberschenkel nach Innen.
Die Patienten beschreiben, einen Riss verspürt zu haben, teilweise sogar mit einem Geräusch verbunden. Der Erguss im Gelenk und die einhergehenden Schmerzen führen dann zur Konsultation eines Arztes. Ziel ist es zunächst, das Ausmass der Knieverletzung abzuschätzen und die richtigen weiteren Schritte einzuleiten. Unfallmechanismus, Beschwerden und der klinische Befund sind oft recht typisch. Neben der standardmässig durchgeführten Röntgenbildgebung zum Ausschluss einer knöchernen Verletzung, kommt die Magnetresonanztomographie (MRT) zur Anwendung. Diese Untersuchung besitzt eine hohe Sensitivität von 90%, um eine Ruptur des VKB erkennen zu können. Die Frage, ob eine Ruptur des VKB operativ zu versorgen ist, erweist sich nicht als so einfach und hängt von verschiedenen Faktoren ab. Eine Kernfrage ist, ob ein Instabilitätsgefühl bei den Patienten vorliegt. Die Instabilität hat zur Folge, dass Knorpel- und Meniskusschäden durch vermehrte Scherkräfte auftreten können. Mit der Operation mit Restabilisierung des Kniegelenks wird dem begegnet. Ziel der Operation ist es, dem Patienten ein annährend gleiches Aktivitätsniveau wie vor dem Unfall zu ermöglichen.
Prinzipiell ist die aktuelle Lehrmeinung, dass Patienten mit einem subjektiven Instabilitätsgefühl oder einer objektivierbaren Instabilität (Pivot Shift Test positiv) und / oder begleitenden Knorpel- oder Meniskusschäden, operativ stabilisiert werden sollten.
Das vordere Kreuzband verläuft im Kniegelenk von der Innenfläche der äusseren Oberschenkelrolle zum Schienbeindach, relativ zentral. Zu den Hauptaufgaben gehören die Stabilisierung des Kniegelenkes nach vorne, die Begrenzung der Unterschenkelrotation, die Stabilisierung gegenüber Kräften, die von der Seite auftreten. Zudem ist das VKB mit Rezeptoren ausgestattet, die für die Propriozeption wichtig sind. Unter der Propriozeption versteht man die Wahrnehmung von Körperbewegungen und Gelenkpositionen im dreidimensionalen Raum (siehe auch die dynamische intraligamentäre Stabilisierung / Ligamys oder weiter unten).
Kreuzband erhaltende Therapie (Konservative Therapie)
Patienten mit einer minimalen Instabilität, insbesondere wenn kaum sportliche Ambitionen vorliegen, eine geringe berufliche Belastung oder aber auch ältere Patienten mit vorbestehender Arthrose können konservativ therapiert werden. Ziel der konservativen Therapie ist das Erreichen einer normalen Beweglichkeit und die Schmerzreduktion. Unter physiotherapeutischer Anleitung wird die Muskelkraft, Ausdauer und Koordination verbessert. Je nach Bedarf können begleitend spezielle Orthesen verschrieben werden.
Kreuzband erhaltende Therapie (Operative Therapie)
Wie bereits erwähnt gilt prinzipiell, dass Patienten mit einem subjektiven Instabilitätsgefühl und begleitenden Knorpel oder Meniskusschaden, operativ stabilisiert werden sollten. Hinzu kommen Patienten, bei denen eine hohe körperliche Belastung vorliegt, kniebelastende Sportarten weiter betrieben werden möchten. Ebenso sollte die operative Versorgung erfolgen, wenn zusätzliche Stabilisatoren wie zum Beispiel das hintere Kreuzband und / oder die Seitenbänder mitverletzt sind. Bei chronischen, also über einen längeren Zeitraum bestehende Instabilitäten, wird die operative Indikation gestellt, wenn ein entsprechender Meniskusschaden vorliegt oder es zu einem Unterschenkelwegrutschen (giving-way) bei alltäglichen Belastungen kommt.
Die dynamische Intraligamentäre Stabilisierung - Ligamys (Mathys)
Mit der dynamischen intraligamentären Stabilisierung steht eine völlig neue Behandlu mngsmethode von Kreuzbandrupturen zur Verfügung. Erstmals ist es möglich, kreuzbanderhaltend zu operieren. Bis dato galt die Ersatzplastik des vorderen Kreuzbandes als Standardmethode.
Das vordere Kreuzband ist gemeinsam mit dem hinteren Kreuzband und den Seitenbändern massgeblich für die Stabilität des Kniegelenkes verantwortlich. Zusätzlich enthält das VKB sehr viele sensible Nervenfasern. Über diese neurologischen Bahnen erfolgt ständig im Unterbewusstsein eine Rückmeldung über die Stellung des Kniegelenkes. Die kniegelenksumgreifende Muskulatur sowie die Oberschenkel- und Unterschenkelmuskulatur reagieren auf diese Rückmeldungen und können das Knie muskulär in seiner Stabilität unterstützen (Propriozeption). Hat eine Ruptur des VKB stattgefunden, so kommt es neben dem Stabilitätsverlust auch zu einem Verlust der Propriozeption. Hieraus kann ein unsicheres Gefühl bei den Patienten resultieren. Mit dem Ligamys-Implantat wird das rupturierte Kreuzband entlastet, aber auch stabilisiert.
Der grosse Vorteil dieser neuen Operation ist zum Einen, dass das vordere Kreuzband erhalten bleibt und damit die Propriozeption im Kniegelenk. Zum Anderen entfällt die Entnahme eines «Ersatztransplantates» welches gelegentlich zu starken Schmerzen an der Entnahmestelle führen kann. Auch eine mögliche Schwächung der rückseitigen Oberschenkelmuskulatur kann hiermit umgangen werden.
Mit dem Ligamys-Implantat kann praktisch jede akute Ruptur des vorderen Kreuzbandes therapiert werden. Diese Operationstechnik unterstützt die Selbstheilung des vorderen Kreuzbandes. Je früher also operiert wird, umso höher sind die Chancen, dass diese Selbstheilung stattfindet. Die Operation sollte in den ersten drei Wochen durchgeführt werden. Für ältere, über Monate bestehende Rupturen des vorderen Kreuzbandes kann diese Methode leider nicht angewendet werden.
Bezüglich der postoperativen Rehabilitation ergeben sich keine Nachteile. In ersten klinischen Studien konnte sogar gezeigt werden, dass die Rehabilitationszeit verkürzt ist. Die vor dem Unfall bestandene Funktionalität des Kniegelenkes konnte in den allermeisten Fällen zurückgewonnen werden. Auch dies ist ein weiterer Vorteil des Ligamys Implantates im Vergleich zu anderen Therapieoptionen.
Die Operation des Ligamys-Implantates wird arthroskopisch unterstützt durchgeführt, also im Rahmen einer Kniegelenkspiegelung. Vereinfacht dargestellt wird ein Spezialfaden am Oberschenkelknochen fixiert. Dem natürlichen Verlauf des VKB entsprechend wird dieser durch das Gelenk geführt und in dem Ligamys Implantat verankert. Durch eine Feder im Implantat ist der Faden dynamisch aufgehängt. Es können so Scherkräfte kompensiert werden. Die Naht und Heilung des vorderen Kreuzbandes werden damit geschützt. Da in der überwiegenden Mehrzahl der Fälle das VKB oberschenkelnah reisst, wird dieser Bereich mit einer feinen Ahle zusätzlich mikrofrakturiert, um die Stammzellen zum «Ort des Geschehens» zu bringen und die Heilung zu unterstützen (siehe Mikrofracturing, Knorpelchirurgie).
Der stationäre Aufenthalt beträgt in der Regel zwei Tage. Für die ersten 4 Tage ist das Knie in einer abnehmbaren Schiene ruhiggestellt. Die Belastung des Beines erfolgt nach Beschwerden. Ein genaues Nachbehandlungsschema wird Ihnen im Rahmen des stationären Aufenthaltes ausgehändigt.



Rekonstruktion des vorderen Kreuzbandes (Kreuzbandersatzplastik mit Sehnentransplantat)
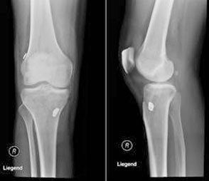
Als Transplantat kommen in den meisten Fällen entweder die Patellarsehne als Knochenblocktransplantat oder die Semitendinosussehne allein oder in Kombination mit der Gracilissehne zur Anwendung. Bei der Patellarsehne kommt es häufiger zu Problemen an der Entnahmestelle, so dass man zunehmend die Semitendinosus- und / oder die Gracilissehne benutzt. Länge und Dicke des Transplantates spielen neben der Art der Verankerung eine entscheidende Rolle, damit postoperativ ein gutes Ergebnis erzielt werden kann. Zudem muss dass Transplantat durch einen Bohrkanal «gezogen» werden. Die Präparation dieses Kanals muss anatomisch nahezu exakt dem Verlauf des ursprünglichen VKB's entsprechen, ebenso muss die Spannung des Transplantates korrekt eingestellt sein, um einen reibungslosen Ablauf im Kniegelenk zu gewährleisten. Zur Fixierung des Transplantats kommen gelenksferne und gelenksnahe Implantate zur Anwendung. Bei der gelenksfernen, femoralen Verankerung wird das Flip-tec Plättchen, welches über einen kräftigen Faden mit dem Transplantat verbunden ist, eingebracht und wie ein Umklappdübel gekippt. Beim Spannen des Transplantats legt sich das Plättchen an der Kortikalis des Oberschenkelknochens an und hält damit das Transplantat in Position. Tibialseitig wird in den Bohrkanal parallel zum Transplantat eine Interferenzschraube eingebracht. Sie drückt das Transplantat gegen den Knochen und verhindert somit Auslockerungen des Transplantats im Schienbeinknochen (Scheibenwischerphänomen). Zusätzlich wird das mit Fäden armierte Transplantat am Bohrkanaleingang mit einem Button gesichert.

Links entnommene Semitentinosussehne, rechts schematische Darstellung der Fixation einer Kreuzbandrekonstruktion mittels Semitentinosussehnentransplantat Fa. Mathys
Der optimale Operationszeitpunkt ist kaum in Wochen nach dem Unfall zu beziffern. Früher galt eine Wartefrist von 6 Wochen zwischen Unfall und Operationszeitpunkt. Viel wichtiger ist die Evaluation des Zustandes des Kniegelenks. Das Kniegelenk sollte nicht mehr geschwollen sein, keinen intraartikulären Erguss haben und frei beweglich sein. Operationen während des posttraumatischen Reizzustandes, können zu Vernarbungen im Gelenk und damit zu Bewegungseinschränkungen führen (Arthrofibrose). Liegt eine begleitende Meniskuspathologie vor, so ist die Frage nach dem einzeitigen bzw. zweizeitigen Vorgehen unter anderem davon abhängig, ob der Meniskus refixiert oder nur ein Teil reseziert wird.
Die Nachbehandlung verläuft in mehreren Phasen und kann in der Informationsbroschüre «Arthroskopische Knieoperation - Vordere Kreuzbandplastik» nachgelesen werden.


Videoanimation VKB Rekonstruktion (Fa. Smith&Nephew)




